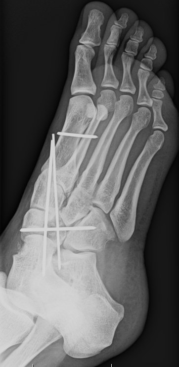
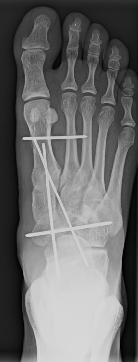
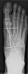
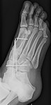
Kriplíci, úrazy, zranění a simulace